樂仁生物蔣毅博士發表SCI文章:闡明人臍血外泌體通過抑制線粒體自噬減少心肌細胞氧化損傷機制,為臍血外泌體抗氧化提供理論依據
發布時間:2025-08-20
樂仁生物蔣毅博士與廣州醫科大學附屬第三醫院李新宇博士合作,聯合江蘇省人民醫院、蘇州市立醫院,并以第一作者在國際SCI期刊在線發表了題為“Extracellular Vesicles Derived from Human Umbilical Cord BloodPlasma Protect H202-Induced Oxidative Damage by Inhibiting Mitophagy in H9C2 Cells” 的開拓性研究成果。該研究得到了江蘇省醫學重點人才項目,江蘇省卓越博士后人才項目,廣東省基礎與應用基礎研究基金支持。

心臟為啥會被“氧化攻擊”?心血管疾病(CVDs)現在簡直是人類健康的 “頭號殺手” 之一!很多研究發現,心臟出問題時,心肌細胞里會堆滿 “氧化垃圾”活性氧(ROS)。這些 ROS 會瘋狂搞破壞,還會讓心肌細胞里的 “能量工廠” 線粒體開啟過度自噬(mitophagy),最后導致心肌細胞 “餓肚子” 罷工。

從臍血血漿里提取了 UCB-EV,帶著 CD63、CD81 等標志性蛋白。
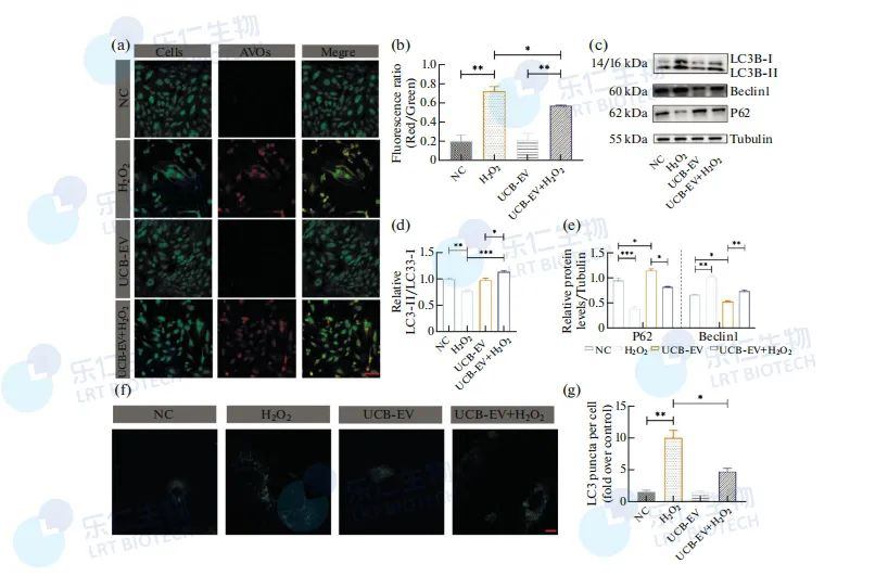
細胞活力:用 UCB-EV 預處理 H9C2 心肌細胞后,再用雙氧水(H?O?)模擬氧化攻擊,細胞存活率上漲。
線粒體 “續命”:UCB-EV 能穩住線粒體膜電位,還能促進線粒體 “再生”,讓能量工廠繼續開工!
抑制 “自毀程序”:UCB-EV 能減少酸性自噬囊泡,降低 LC3-II/LC3-I 比值,說明它按下了線粒體自噬的 “暫停鍵”。
核心機制:阻斷 PINK1/Parkin 通路。線粒體自噬有個關鍵 “開關”——PINK1/Parkin 通路。當氧化應激發生時,PINK1 和 Parkin 蛋白會被激活,啟動線粒體降解。而 UCB-EV 能直接 “掐斷” 這個通路:
- 抑制 PINK1 和 Parkin 的表達;
- 阻止 Parkin 跑到線粒體上 “搞破壞”;
- 恢復線粒體標志物 TOM20 的表達,讓線粒體 “重獲新生”。

臍血來源豐富,UCB-EV 無免疫排斥風險,這次研究不僅揭開了它保護心肌的分子機制,還為開發基于 UCB-EV 的心血管疾病療法提供了關鍵證據。以后或許能通過輸注這種“天然護心泡泡”,幫心臟病患者扛過氧化損傷。臍血 EV 是保護心肌的 “潛力股”,靠抑制線粒體過度自噬發揮作用。為心血管疾病的細胞外囊泡療法開辟了新方向!
樂仁生物實驗室主任蔣毅被授予“第十二屆石家莊市骨干人才(青年)”榮譽稱號。此次評選是由石家莊市委組織部、共青團石家莊市委、石家莊市人社局、石家莊市科技局聯合主辦,旨在表彰為區域產業發展與技術創新作出突出貢獻的青年人才。

蔣毅博士經過個人申報、組織推薦、資格審查、評委會評審等嚴格環節評選,在眾多優秀人才中脫穎而出,展現了他在科研攻關及實驗實踐中的綜合實力。蔣毅博士作為樂仁生物實驗室帶頭人,長期致力于細胞技術的研究,主導多項創新性科研項目。其中CAR-T外泌體、外泌體眼部、口腔霧化目前都已取得顯著成績,他努力推動細胞技術研發創新和應用推廣,希望細胞技術能夠為更多種疾病帶來新的治療方向。

未來,樂仁生物將持續深耕免疫細胞存儲與應用領域,不斷探索前沿生物技術,精進細胞存儲技術與質控體系,用專業與嚴謹筑牢健康“備份”的防線。我們將持續創新,讓先進的細胞科技更貼近每個人的健康需求,以科技力量護航生命旅程,為更多人帶來對健康長壽的堅實底氣與美好可能!

0311-86576536
新聞中心
風采展示
信息公告
公眾號
視頻號

