樂仁生物楊志軍博士/解放軍總醫院高謀博士發表SCI文章:AKT信號通路可上調與小膠質細胞相互作用的誘導神經干細胞中BDNF的表達
發布時間:2025-08-20
2025年7月21日,河北樂仁生物楊志軍博士與解放軍總醫院高謀博士合作,并以共同第一作者在國際權威期刊Stem Cell Research & Therapy在線發表了題為“AKT signaling upregulates BDNF expression in induced neural stem cells that interact with microglia” 的開拓性研究成果。

樂仁生物楊志軍教授與解放軍總醫院高謀博士課題組長期合作研究神經干細胞參與神經損傷修復機制研究。該研究得到了國家自然科學基金委員會、河北省衛健委醫學科學研究項目和相關單位的資助。

腦源性神經營養因子(BDNF)具有促進神經元存活的能力,這對閉合性顱腦損傷(CHI)后的神經功能恢復至關重要。課題組之前的研究報道,腦內移植誘導的神經干細胞(iNSCs)可上調BDNF水平,從而在CHI受損的大腦中發揮神經營養作用。本研究旨在闡明iNSCs中BDNF上調的機制。
課題組進行了iNSC與脂多糖(LPS)激活的小膠質細胞共培養實驗、iNSC移植、功能喪失研究、形態學和分子生物學分析,以揭示iNSCs中BDNF過表達的機制。

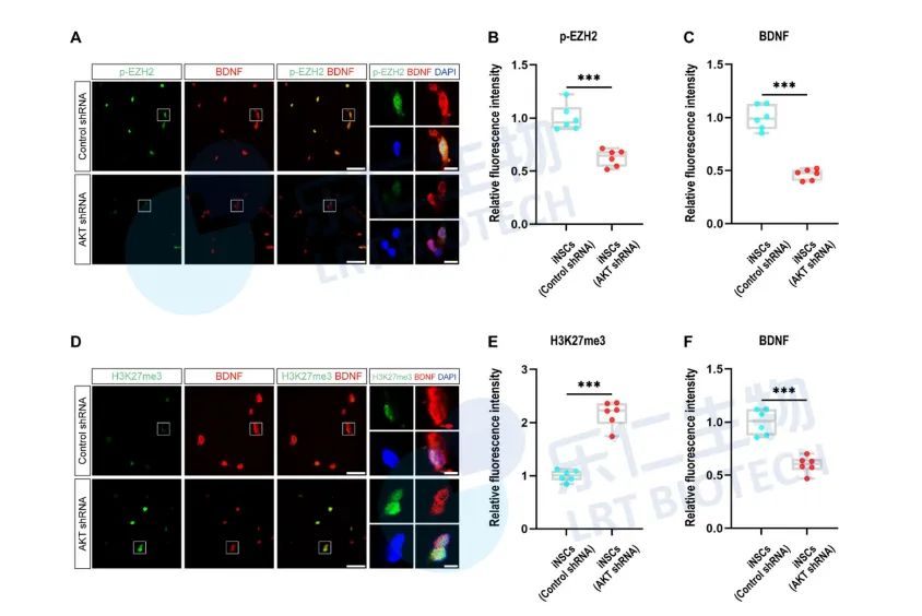
結果表明,與LPS激活的小膠質細胞共培養可上調iNSCs中BDNF以及Bdnf外顯子I和IV的表達水平。值得注意的是,AKT抑制可抵消與LPS激活的小膠質細胞共培養的影響,該影響會降低iNSCs中Bdnf啟動子IV處的增強子同源物2(EZH2)和H3K27三甲基化(H3K27me3)水平,但增加EZH2磷酸化和BDNF表達。此外,阻斷AKT可抵消與LPS激活的小膠質細胞共培養的影響,該影響會增加iNSCs中Bdnf啟動子I和IV處的環磷酸腺苷反應元件結合蛋白(CREB)水平,以及CREB磷酸化和BDNF表達。進一步地,在移植的iNSCs中阻斷AKT活性可降低CHI小鼠受損皮層中的BDNF表達。
簡而言之,研究表明AKT信號傳導可能調節iNSCs中BDNF的表達。AKT的激活可通過滅活EZH2以及降低Bdnf啟動子IV處的EZH2和H3K27me3水平來上調BDNF表達,同時激活CREB以及增加Bdnf啟動子I和IV處的CREB水平

楊志軍
教授醫學博士/臨床醫學博士后碩士生導師
/副主任醫師
樂仁生物學術負責人
國家工信部醫藥工業領域高水平專家
國家自然科學基金委項目評審專家
中國神經科學學會神經損傷與修復分會委員
中國醫藥教育協會醫療器械管理委員會委員
河北省衛健委科研項目專家庫專家
曾擔任解放軍總醫院神經干細胞研究中心主任,主要從事干細胞和免疫細胞抗衰老的基礎科研及臨床應用研究工作。以第一作者和通訊作者發表論文50余篇,其中SCI收錄10余篇。主持國家自然科學基金3項、省級自然科學基金4項。獲北京市科技進步二等獎和軍隊科技進步二等獎各1項。

0311-86576536
新聞中心
風采展示
信息公告
公眾號
視頻號

